Transmission EM
Ultrastructural imaging of pancreatic islet cells and their organelles.


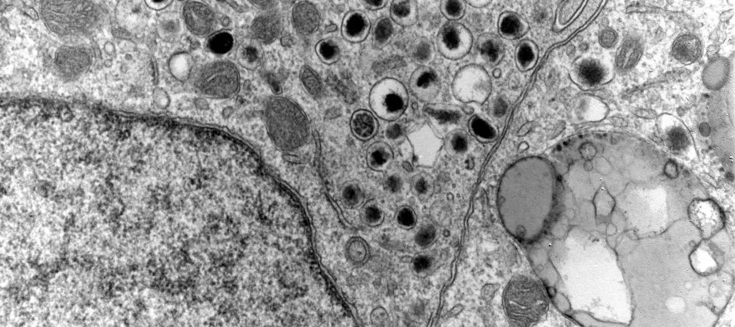
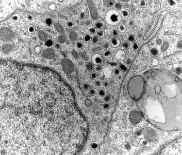
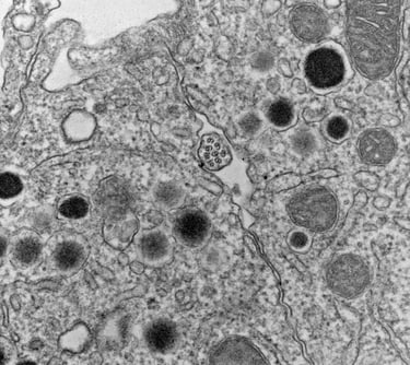
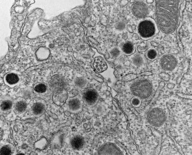
There is a cilium cross-section in there - do you see it?
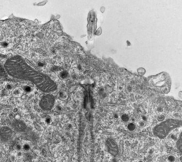
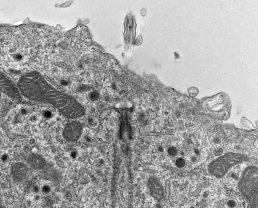
Cilia and centrioles
Most every islet cell has a primary cilium and pair of centrioles. When we find them on an EM grid, it's a good day.
Mitochondria
We want to understand how cilia talk to other organelles to make beta cells work. Mitochondria may be an important communication partner with cilia and centrioles. Come join us in finding how.




Needle in a haystack
Cilia hunting by TEM takes serious effort and love. Fortunately, we love doing it. Can you spot the ciliary structures in these images?


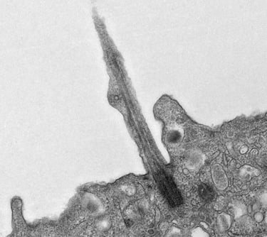
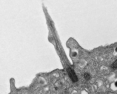
Cilium between two beta cells
mouse islet


Axoneme cross-section
mouse islet


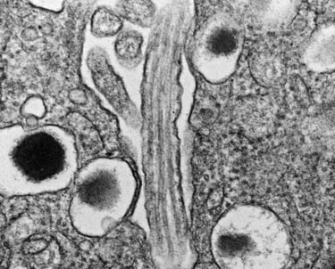
Axoneme, basal body, rootlet, oh my
mouse islet


Cilium at islet periphery
mouse islet